Налет на зубах заметно снижает эстетику улыбку, вызывая потемнение эмали. Однако недостаточные гигиенические процедуры и образование мягкого зубного налета способствуют не только ухудшению внешнего вида эмали, но и приводят к развитию заболеваний зубов и полости рта. Основной причиной кариеса и патологии пародонта считается образование зубного камня. Лечение десен также начинается именно с удаления зубного камня.
Образование зубного камня
Мягкий налет представляет собой пленку, состоящую из остатков пищи, отмерших клеток слизистой оболочки, продуктов жизнедеятельности различных бактерий. При недостаточно эффективном очищении зубов происходит минерализация и трансформация его в твердые зубные отложения, которые могут травмировать эмаль зуба, десну, ткани пародонта, приводя к развитию патологических процессов.
Помимо недостаточного очищения от мягкого зубного налета, образованию зубного камня способствуют:
-
неправильный прикус, препятствующий полноценной гигиене;
-
нарушение обмена веществ, следствием чего является ускоренное образование твердых минеральных отложений.
Методы удаления зубного камня

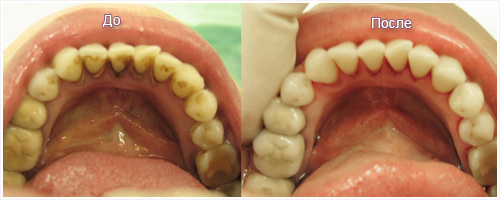
Среди методов удаления зубного камня наиболее эффективным является ультразвуковой скейлинг. Энергия ультразвука эффективно разрушает отложения, отделяя их от поверхности зубов. Ультразвук безопасен для здоровья человека, процедура проходит безболезненно и не требует применения местных анестетиков.
Пациентам, которым по той или иной причине не подходит ультразвуковая чистка, удаления снимают механическим способом. Для этого используют специальные тонкие инструменты, при помощи которых удаляют зубной камень.
После снятия твердых минерализованных отложений их остатки, а также мягкий бактериальный налет удаляют при помощи аппарата Air Flow. Воздушно-водяная смесь, смешиваясь с очищающим порошком, мягко удаляет загрязнения. Процедура удаления зубного камня завершается полировкой зубов, которую проводят вращающимися щеточками и зернистыми пастами.
Удаление зубного камня в Махачкале всеми известными способами можно осуществить в стоматологическом центре Мечта. Опытные врачи-гигиенисты определят оптимальный способ проведения процедуры исходя из клинической ситуации.