Пародонтология в клинике «Мечта»
Пародонтология занимается изучением и лечением заболеваний околозубных тканей, пародонта. В патологический процесс оказываются вовлеченными десна, костная ткань, а также связочный аппарат, который и удерживает зуб в лунке.
Наиболее распространенными патологиями пародонта являются:
-
Гингивит - воспалительный процесс, ограниченный десной;
-
Пародонтит - патологический процесс, который охватывает ткани вокруг одного или нескольких зубов;
-
Пародонтоз - постепенное разрушение, атрофия тканей пародонта, которое охватывает все зубы сразу.
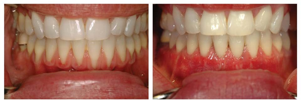
Симптоматика процессов разнообразна, обусловлена формой развития заболевания, а также тяжестью процесса. Наиболее типичными признаком патологии пародонта является ситуация, когда кровоточат десна. При этом может отмечаться зуд, болевые ощущения, неприятный запах изо рта. Несвоевременное обращение за помощью приводит к развитию такого опасного симптома, как расшатывание зубов и их дальнейшему выпадению.
Принципы лечения
Лечение десен необходимо начинать как можно раньше, с появления первых тревожных симптомов. В зависимости от выявленной формы патологии, специалист назначит местное лечение в виде антисептических, противовоспалительных или антибактериальных средств, что в короткие сроки купирует процесс, не даст возможности его более широкому распространению.
Лечение пародонтоза и пародонтита является комплексным, направленным на выявление и устранение причины заболевания, включающее симптоматические мероприятия, гигиену полости рта. В последнее время с появлением аппарата Vector возросли возможности консервативных методов лечения. При этом лечение пародонтита проходит безболезненно, является более эффективным. Ощутимый результат заметен уже после первой процедуры.
Мы готовы предложить пациентам:
-

-
Эффективное лечение новым аппаратом ВЕКТОР
-
Лечение аппаратом лазерной терапии МАТРИКС
-
Простое и быстрое лечение стоматита
-
Хирургические методы лечения заболеваний пародонта
Достижение максимального эффекта возможно при своевременном обращении пациента к специалистам. В Махачкале пациентам готовы помочь пародонтологи стоматологического центра «Мечта», которые владеют всеми современными методиками лечения данной патологии.