Терапевтическое лечение зубов

Терапевтическая стоматология – одно из важнейших направлений работы стоматологической клиники «Мечта».

Терапевтическая стоматология является весьма востребованным направлением медицины, которое включает диагностику и лечение следующих заболеваний:

  • Лечение кариеса и его осложнений;

  • Некариозного поражения зубов;

  • Воспаления слизистой оболочки полости рта.

Это значит, что Вы можете обращаться к стоматологу-терапевту при развитии кариеса, пульпита, периодонтита, чувствительности зубов, наличии клиновидных дефектов, флюороза, стоматита, травм и сколов эмали. Наши специалисты всегда рады Вам помочь: провести осмотр, диагностику, составить план лечения и провести все необходимые манипуляции.

Методы лечения зубов

Основным методом лечения кариеса является пломбирование зубов. Современная стоматология достигла такого уровня, когда задачей специалиста является не только восстановление жевательной функции, но и сохранение или улучшение эстетики зуба. Применяемые инновационные композитные материалы позволяют добиться абсолютной схожести с зубной эмалью, полностью воссоздать форму зуба. При этом восстановленный зуб становится ничем не отличается от соседних.

Современное терапевтическое лечение зубов осуществляется безболезненно. Для этого мы применяем различные методы анестезии. Лечение кариеса теперь не доставляет пациентам никакого дискомфорта. Этому во многом способствует профессионализм наших докторов и наличие высокопроизводительного оборудования.

Легкомысленное отношение к поражению зубов, недостаточное соблюдение гигиены полости рта приводят к вовлечению в патологический процесс окружающих тканей, распространению его вглубь. Наиболее частыми осложнениями кариеса являются:

  • пульпит;

  • периодонтит.

 

Лечение таких заболеваний является более длительным и тяжелым, требует дополнительных усилий со стороны специалиста. Но часто пациент приходит к врачу слишком поздно, когда зуб спасти уже невозможно. Лечение, начатое на более ранних сроках, проходит легко и быстро, не требует от пациента значительных финансовых затрат. Более того, посещая стоматолога-терапевта всего 1-2 раза в год для профилактики, вы в разы сократите риск развития серьезных заболеваний.

Лечение зубов в Махачкале – основное направление работы стоматологической клиники «Мечта». Мы применяем технологии XXI века, чтобы улыбки наших пациентов были здоровыми и красивыми. Врачи регулярно повышают свою квалификацию и применяют новейшие методики терапевтического лечения зубов. При необходимости по направлению своего лечащего врача Вы сможете получить консультацию специалистов смежных специальностей: пародонтолога, хирурга-стоматолога, ортопеда, имплантолога или ортодонта.

 


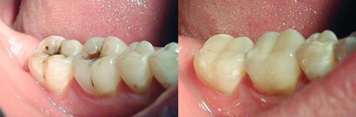
До и после


Записаться на прием

Цены

ТЕРАПЕВТИЧЕСКИЕ УСЛУГИ

  • Лечение пульпита однокорневого зуба (без пломбы)
    3500
  • Лечение пульпита двухкорневого зуба (без пломбы)
    4000
  • Лечение пульпита трехкорневого зуба (без пломбы)
    5000
  • Постановка пломбы световой полимеризации (Градиа Директ) Япония
    4000
  • Распломбирование 1-го канала
    1000
  • Восстановление зуба по системе «Рибонд»
    5 000
  • Восстановление керамики (скол керамики)
    4000
  • Лечение кариеса светоотверждаемой пломбой из композиционного материала Ceram X SphereTec, Gradia Direct. Включая анестезию и наложение коффердама.
    4500
  • Отбеливание ZOOM 4
    25 000
  • Отбеливание зубов Amazing White
    8 000


Специалисты по направлению

  • Мухтаров Рабадан Абдуллаевич
    Заведующий отделением терапевтической стоматологии, Врач стоматолог-терапевт
  • Мантикова Рима Ризвановна
    Врач стоматолог-терапевт
  • Саидов Исмаил Маратович
    Врач стоматолог-терапевт
  • Мухтаров Ибрагим Гаджиабакарович
    Врач стоматолог-терапевт
  • Гитинова Саният Магомедалиевна
    Врач стоматолог-терапевт


запись на прием
к врачу*:
Не важно
Не важно
Абдулаев Рабадан Ильясович
Алиева Загидат Тельмановна
Альчиев Тимур Абдурахманович
Амиров Эльмар Амирович
Гаджиева Хадижат Шапиевна
Гаджиметов Гаджимет Бинямович
Гитинова Саният Магомедалиевна
Ильясов Камильхан Абдулсаламович
Касумова Джамиля Зубаиловна
Магомедов Шамиль Алаутинович
Мирзаев Ашурбек Саламович
Мирзамагомедова Муминат Чапаевна
Мусаева София Гаджиевна
Мухтаров Ибрагим Гаджиабакарович
Саидов Исмаил Маратович
Абдулаев Рабадан Ильясович
Заведующий отделением ортопедии, Врач стоматолог-ортопед
Алиева Загидат Тельмановна
Врач стоматолог-терапевт, Врач пародонтолог
Альчиев Тимур Абдурахманович
Врач стоматолог-ортопед
Амиров Эльмар Амирович
Врач стоматолог-хирург, Врач имплантолог
Гаджиева Хадижат Шапиевна
Врач стоматолог-терапевт
Гаджиметов Гаджимет Бинямович
Врач стоматолог-хирург, Врач имплантолог
Гитинова Саният Магомедалиевна
Врач стоматолог-терапевт
Ильясов Камильхан Абдулсаламович
Врач стоматолог-хирург, Врач имплантолог
Касумова Джамиля Зубаиловна
Заведующий отделением, Врач пародонтолог
Магомедов Шамиль Алаутинович
Врач ортодонт
Мирзаев Ашурбек Саламович
Зам. главного врача, Врач стоматолог-хирург
Мирзамагомедова Муминат Чапаевна
Врач стоматолог-терапевт
Мусаева София Гаджиевна
Рентгенолог
Мухтаров Ибрагим Гаджиабакарович
Врач стоматолог-терапевт
Саидов Исмаил Маратович
Врач стоматолог-терапевт
ваше имя*:
телефон*:
комментарий:
* - строки обязательные для заполнения
Я подтверждаю свое согласие на:*:
  • На исользование в качестве каналов передачи информации, содержащейся в заявке, открытых каналов связи сети Интернет
  • На обработку моих персональных даных в соответствии с федеральным законом РФ от 27.07.2006 №152-Ф3 "О персональных данных"
режим работы:
Пн-Пт: 08:00 - 19:30
Сб: 08:00 - 14:00
ТЕЛефон:
93-11-16
63-11-16
закрыть
Спасибо!
закрыть