Профессиональная чистка зубов

профессиональная чистка зубов Тщательно ли вы чистите зубы? Достаточно ли основательно убираете весь зубной налет не только с передней поверхности, но и с задней, и с боковых? На самом деле, как бы правильно и старательно вы не чистили зубы, небольшое количество налета все равно остается. Особенно часто он скапливается на границе с десной, где со временем уплотняется и превращается в камень. Справиться с бедой поможет профессиональная чистка зубов.

Эта процедура довольно проста. Налет и камень удаляются с поверхности эмали не мягкими щетками, а тонкой, направленной струей воды или воздуха с абразивом или же ультразвуковыми волнами. Если первый вариант подходит для не слишком запущенных случаев, то ультразвуковая чистка зубов нужна при твердых отложениях.

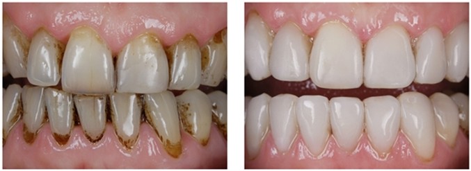
до и после профессиональной чистки зубов Как правило, перед процедурой проводится легкое обезболивание с помощью специального геля. Уколы требуются лишь в случае сильного воспаления десен, когда гель недостаточно эффективен. После обезболивания стоматолог тщательно обрабатывает каждый зуб, снимая с него все отложения. Инструмент проникает и под десны, так что в процессе может быть небольшая кровоточивость. В конце на зубы наносится специальный гель для реминерализации и защиты.

После профессиональной чистки зубов требуется соблюдать определенные меры предосторожности. В частности, в течение суток не рекомендуется употреблять любые продукты и напитки ярких цветов, назначается так называемая «белая диета». Курение тоже следует отложить на максимально возможный промежуток времени. После воздействия эмаль становится немного рыхлой и легче обычного окрашивается. Кроме того, вам обязательно потребуется новая зубная щетка, поскольку на старой имеется большое количество бактерий.

до и после ультрозвуковой чистки зубов С помощью ультразвуковой чистки зубов можно избавиться от сильной кровоточивости десен. Эта процедура – прекрасный способ предупредить развитие пародонтоза, приводящего к потере зубов. В этом случае она просто необходима. Регулярное проведение профессиональной чистки зубов поможет полностью забыть о кровоточивости и других проблемах. При отсутствии проблем ее рекомендуется делать хотя бы ежегодно, а при склонности к образованию камня и развитию пародонтоза – раз в полгода или даже чаще по рекомендации стоматолога.

Ультразвуковую чистку зубов можно порекомендовать и в качестве небольшого отбеливания эмали. Зачастую лишь удаление налета может осветлить ее на несколько тонов. ультрозвуковая чистка зубовЭто особенно важно и перед проведением реставрации или протезирования, когда специалисту необходимо сделать цвет материалов идеально совпадающим с цветом собственных зубов пациента.

В нашей клинике работают опытные стоматологи-гигиенисты, которые владеют всеми видами профессиональной чистки. Они помогут избавиться от налета в самые короткие сроки и сделают ваши зубки идеальными. Здоровая эмаль, здоровые десны, красивая улыбка – это просто!



До и после профессиональной чистки зубов


Записаться на прием

Цены

Лечение десен и профессиональная ультразвуковая чистка зубов

  • Лечение хронического пародонтита, пародонтоза, гингивита (курс лечения 5-10 дней)
    9000
  • Кюретаж в области 2-3 зубов
    500
  • Открытый кюретаж в области 2-3 зубов (с использованием остиодента, ультразвуковая чистка, обработка карманов, аппаратом «Вектор» повязка
    2 000
  • Профессиональная комплексная гигиена (снятие отложений скалером, обработка пастами, полировка, "Диплен-пленка")
    2 000
  • Обработка стоматита один день
    300
  • Покрытие зуба фтор-лаком
    50
  • Иссечение гипертрофических сосочков в области 4-х зубов
    400
  • Курс лечения десен в течении 5 дней включая профессиональную гигиену ультразвуковым аппаратом и лазерно-вакумную терапию
    5 000
  • Лечение по технологии "VECTOR"
  • Лечение пародонтита аппаратом «Вектор» в области одного патологического кармана
    300
  • Наложение «Диплен Дента»
    150
  • Отдельный курс лазеротерапии в области 1-го зуба
    150
  • Френэктомия
    2000
  • Формирования десневого желобка 1-го зуба
    500
  • Хирургическая коррекция десны в области одного зуба
    350
  • Обработка патологического кармана методом Air Flow Perio 1 - ед
    300
  • Чистка зубов методом Air Flow Plus
    4 200
    Чистка зубов методом Air Flow Plus
    Чистка зубов методом Air Flow Plus (Профессиональная комплексная гигиена (снятие отложений скалером, обработка пастами, полировка, "Диплен-пленка", фторирование).


запись на прием
к врачу*:
Не важно
Не важно
Абдулаев Рабадан Ильясович
Алиева Загидат Тельмановна
Альчиев Тимур Абдурахманович
Амиров Эльмар Амирович
Гаджиева Хадижат Шапиевна
Гаджиметов Гаджимет Бинямович
Гитинова Саният Магомедалиевна
Ильясов Камильхан Абдулсаламович
Касумова Джамиля Зубаиловна
Магомедов Шамиль Алаутинович
Мирзаев Ашурбек Саламович
Мирзамагомедова Муминат Чапаевна
Мусаева София Гаджиевна
Мухтаров Ибрагим Гаджиабакарович
Саидов Исмаил Маратович
Абдулаев Рабадан Ильясович
Заведующий отделением ортопедии, Врач стоматолог-ортопед
Алиева Загидат Тельмановна
Врач стоматолог-терапевт, Врач пародонтолог
Альчиев Тимур Абдурахманович
Врач стоматолог-ортопед
Амиров Эльмар Амирович
Врач стоматолог-хирург, Врач имплантолог
Гаджиева Хадижат Шапиевна
Врач стоматолог-терапевт
Гаджиметов Гаджимет Бинямович
Врач стоматолог-хирург, Врач имплантолог
Гитинова Саният Магомедалиевна
Врач стоматолог-терапевт
Ильясов Камильхан Абдулсаламович
Врач стоматолог-хирург, Врач имплантолог
Касумова Джамиля Зубаиловна
Заведующий отделением, Врач пародонтолог
Магомедов Шамиль Алаутинович
Врач ортодонт
Мирзаев Ашурбек Саламович
Зам. главного врача, Врач стоматолог-хирург
Мирзамагомедова Муминат Чапаевна
Врач стоматолог-терапевт
Мусаева София Гаджиевна
Рентгенолог
Мухтаров Ибрагим Гаджиабакарович
Врач стоматолог-терапевт
Саидов Исмаил Маратович
Врач стоматолог-терапевт
ваше имя*:
телефон*:
комментарий:
* - строки обязательные для заполнения
Я подтверждаю свое согласие на:*:
  • На исользование в качестве каналов передачи информации, содержащейся в заявке, открытых каналов связи сети Интернет
  • На обработку моих персональных даных в соответствии с федеральным законом РФ от 27.07.2006 №152-Ф3 "О персональных данных"
режим работы:
Пн-Пт: 08:00 - 19:30
Сб: 08:00 - 14:00
ТЕЛефон:
93-11-16
63-11-16
закрыть
Спасибо!
закрыть