Исправление прикуса

Ортодонтическое лечение в клинике «Мечта»

Ортодонтия – наука, занимающаяся проблемами нарушения прикуса. Ортодонт в Махачкале помогает пациентам восстановить эстетику зубного ряда и предотвратить развитие опасных осложнений, к которым приводит нарушение прикуса. К таковым можно отнести стираемость зубов, щелчки в суставе, проблемы с желудочно-кишечным трактом и повышенный риск развития кариеса. Лечение у ортодонта поможет сохранить здоровье зубов и сделать улыбку более привлекательной.

Неправильный прикус может быть обусловлен врожденными особенностями строения зубочелюстной системы, заболеваниями ЛОР-органов, вредными привычками, удалением зубов и другими факторами. В каждом случае для получения максимально эффективного результата требуется индивидуальный подход, тщательная диагностика и выяснение всех сопутствующих факторов.

В раннем возрасте ортодонтическое лечение будет простым и эффективным, для этого часто применяется недорогая съемная аппаратура. Однако и взрослые пациенты сегодня без труда могут исправить прикус при помощи брекет-системы.

 

Исправление прикуса взрослым

Как уже было сказано, осуществить коррекцию нарушений прикуса возможно и взрослым пациентам. Несмотря на то, что это требует более значительных усилий, соблюдение всех рекомендаций позволяет исправить самую сложную аномалию. Современные методы коррекции прикуса включают несъемные брекет-системы, а также съемные каппы, которые могут использоваться в качестве самостоятельного метода коррекции прикуса, а также показаны после завершения лечения с помощью брекетов.

Мы готовы предложить пациентам различные виды брекет-систем:

  • Металлические брекеты MicroArch, Тино, Damon Q, Damon 3

  • Эстетические брекеты Damon Clear

Врач-ортодонт проведет всю необходимую диагностику, составит план лечения и подберет систему, которая будет соответствовать вашим пожеланиям и бюджету на лечение. Запишитесь на прием к доктору уже сегодня и сделайте первый шаг к красивой улыбке вместе с клиникой «Мечта».

 



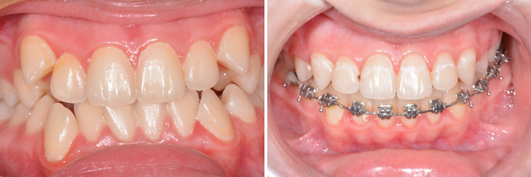
До и после


Записаться на прием

Цены

ИСПРАВЛЕНИЕ ПРИКУСА

  • Лечение брекет-системой Mini Diamod
    120 000
  • Лечение брекет-системой Damon Q
    140 000
  • Лечение брекет-системой Damon Clear 3-3
    165 000
    Лечение брекет-системой Damon Clear 3-3
    В комплект входит 6 керамических брекетов на верхнюю челюсть
  • Лечение брекет-системой Damon Clear 5-5
    175 000
    Лечение брекет-системой Damon Clear 5-5
    В комплект входит 10 керамических брекетов на верхнюю челюсть
  • Изготовление и фиксация регейнера в области 3-3
    2 500
  • Изготовление 1-ой прозрачной ретенционной каппы
    2 500
  • Лечение брекет-системой Damon Clear 5-5 + 3-3
    190 000
    Лечение брекет-системой Damon Clear 5-5 + 3-3
    В комплект входит 16 керамических брекетов


Специалисты по направлению

  • Магомедов Шамиль Алаутинович
    Врач ортодонт


запись на прием
к врачу*:
Не важно
Не важно
Абдулаев Рабадан Ильясович
Алиева Загидат Тельмановна
Альчиев Тимур Абдурахманович
Амиров Эльмар Амирович
Гаджиева Хадижат Шапиевна
Гаджиметов Гаджимет Бинямович
Гитинова Саният Магомедалиевна
Ильясов Камильхан Абдулсаламович
Касумова Джамиля Зубаиловна
Магомедов Шамиль Алаутинович
Мирзаев Ашурбек Саламович
Мирзамагомедова Муминат Чапаевна
Мусаева София Гаджиевна
Мухтаров Ибрагим Гаджиабакарович
Саидов Исмаил Маратович
Абдулаев Рабадан Ильясович
Заведующий отделением ортопедии, Врач стоматолог-ортопед
Алиева Загидат Тельмановна
Врач стоматолог-терапевт, Врач пародонтолог
Альчиев Тимур Абдурахманович
Врач стоматолог-ортопед
Амиров Эльмар Амирович
Врач стоматолог-хирург, Врач имплантолог
Гаджиева Хадижат Шапиевна
Врач стоматолог-терапевт
Гаджиметов Гаджимет Бинямович
Врач стоматолог-хирург, Врач имплантолог
Гитинова Саният Магомедалиевна
Врач стоматолог-терапевт
Ильясов Камильхан Абдулсаламович
Врач стоматолог-хирург, Врач имплантолог
Касумова Джамиля Зубаиловна
Заведующий отделением, Врач пародонтолог
Магомедов Шамиль Алаутинович
Врач ортодонт
Мирзаев Ашурбек Саламович
Зам. главного врача, Врач стоматолог-хирург
Мирзамагомедова Муминат Чапаевна
Врач стоматолог-терапевт
Мусаева София Гаджиевна
Рентгенолог
Мухтаров Ибрагим Гаджиабакарович
Врач стоматолог-терапевт
Саидов Исмаил Маратович
Врач стоматолог-терапевт
ваше имя*:
телефон*:
комментарий:
* - строки обязательные для заполнения
Я подтверждаю свое согласие на:*:
  • На исользование в качестве каналов передачи информации, содержащейся в заявке, открытых каналов связи сети Интернет
  • На обработку моих персональных даных в соответствии с федеральным законом РФ от 27.07.2006 №152-Ф3 "О персональных данных"
режим работы:
Пн-Пт: 08:00 - 19:30
Сб: 08:00 - 14:00
ТЕЛефон:
93-11-16
63-11-16
закрыть
Спасибо!
закрыть