Протезирование зубов

В тех случаях, когда не удается восстановить разрушенный зуб путем пломбирования, а также при утере одного или нескольких зубов, применяется метод протезирования. Используя современные технологии, удается восстановить жевательную и эстетическую функцию зубного ряда даже при полной адентии.

Сегодня в протезировании зубов нуждаются не только пожилые пациенты, но и люди молодого возраста. Стоматологи-ортопеды клиники «Мечта» обладают многолетним опытом работы по данному направлению. Опытный специалист проведет осмотр и подберет для Вас протез в индивидуальном порядке, учитывая требования к эстетике и бюджет на лечение.

Мы готовы предложить пациентам следующие технологии протезирования зубов в Махачкале

  • Установка имплантатов Implantium (Израиль), Alpha-Bio (Южная Корея);

  • Коронки из металлокерамики, керамики e.max и современные коронки класса «люкс» из диоксида циркония;

  • Самые разнообразные съемные протезы: нейлоновые, бюгельные, акриловые, ацеталовые.

 

Скажем о каждой из технологий подробнее

Съемные и несъемные протезыСъемные протезы характеризуются самой доступной ценой. Противопоказаний к их установке практически нет. Именно поэтому они завоевали такую популярность среди пациентов. Однако съемные конструкции не всегда прочно фиксируются в полости рта, могут вызывать чувство дискомфорта при жевании, требуют длительного привыкания. Кроме того, съемные конструкции характеризуются ограниченным сроком эксплуатации.

Несъемные модели более удобны, долговечны, не требуют никакого дополнительного ухода. Самым распространенным видом несъемного протеза, применяемым при разрушении единичного зуба, является искусственная коронка. При этом развитие технологического процесса позволяет использовать в качестве материала не только металлокерамику, но и безметалловые изделия: циркониевые или керамические. Применение инновационных материалов и методов диагностики позволяет создавать протезы, идеально соответствующие восстанавливаемому зубу.

Но самым удобным и комфортным для пациента методом восстановления зубов сегодня, безусловно, является имплантация. Использование титановых имплантов, имитирующих корень зуба, явилось настоящим прорывом в ортопедии. Такой метод протезирования позволяет восстанавливать все функции зубного ряда и добиться прекрасной эстетики. Имплант является полноценной заменой утраченного зуба, и при хорошем уходе способен служить пациенту десятилетиями.

Клиника «Мечта» - недорогие и качественные протезы

Изготовлением и установкой зубных протезов в Махачкале занимаются опытные специалисты стоматологической клиники «Мечта». Почти 30 лет опыта позволяют нам выполнять все работы на высшем уровне. Компетентные, грамотные специалисты клиники владеют всеми инновационными методиками протезирования. Отличная материально-техническая база и современное оборудование позволяют осуществить самые сложные мероприятия на европейском уровне.



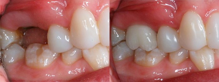
До и после


Записаться на прием

Цены

ПРОТЕЗИРОВАНИЕ

  • Коронка пластмассовая
    800
  • Починка протеза (1 перелом)
    1000
  • Металлокерамика (Инлайн)
    6 000
  • Безметалловая керамическая коронка Emax
    15 000
  • Нейлоновый протез (1 протез)
    15 000
  • Бюгельный протез простой (с опор.удер.кламмерами)
    20 000
  • Бюгельный протез многозвеньевой
    20 000
  • Бюгельный протез (с интерлоками)
    20 000
  • Съемный протез АКРИФРИ 711
    15 000
  • Ацеталовый протез
    18 000
  • Коронка металлокерамическая на имплантате
    21 000
  • Съёмный протез Виллакрил
    13 000
  • Керамический винир Emax
    20 000
  • Безметалловая керамическая коронка (диоксид циркония)
    15 000
  • Установка коронки из диоксида циркония на классический имплантат системы Osstem (Ю.Корея) на винтовой фиксации
    20 000


Специалисты по направлению

  • Абдулаев Рабадан Ильясович
    Заведующий отделением ортопедии, Врач стоматолог-ортопед


запись на прием
к врачу*:
Не важно
Не важно
Абдулаев Рабадан Ильясович
Алиева Загидат Тельмановна
Альчиев Тимур Абдурахманович
Амиров Эльмар Амирович
Гаджиева Хадижат Шапиевна
Гаджиметов Гаджимет Бинямович
Гитинова Саният Магомедалиевна
Ильясов Камильхан Абдулсаламович
Касумова Джамиля Зубаиловна
Магомедов Шамиль Алаутинович
Мирзаев Ашурбек Саламович
Мирзамагомедова Муминат Чапаевна
Мусаева София Гаджиевна
Мухтаров Ибрагим Гаджиабакарович
Саидов Исмаил Маратович
Абдулаев Рабадан Ильясович
Заведующий отделением ортопедии, Врач стоматолог-ортопед
Алиева Загидат Тельмановна
Врач стоматолог-терапевт, Врач пародонтолог
Альчиев Тимур Абдурахманович
Врач стоматолог-ортопед
Амиров Эльмар Амирович
Врач стоматолог-хирург, Врач имплантолог
Гаджиева Хадижат Шапиевна
Врач стоматолог-терапевт
Гаджиметов Гаджимет Бинямович
Врач стоматолог-хирург, Врач имплантолог
Гитинова Саният Магомедалиевна
Врач стоматолог-терапевт
Ильясов Камильхан Абдулсаламович
Врач стоматолог-хирург, Врач имплантолог
Касумова Джамиля Зубаиловна
Заведующий отделением, Врач пародонтолог
Магомедов Шамиль Алаутинович
Врач ортодонт
Мирзаев Ашурбек Саламович
Зам. главного врача, Врач стоматолог-хирург
Мирзамагомедова Муминат Чапаевна
Врач стоматолог-терапевт
Мусаева София Гаджиевна
Рентгенолог
Мухтаров Ибрагим Гаджиабакарович
Врач стоматолог-терапевт
Саидов Исмаил Маратович
Врач стоматолог-терапевт
ваше имя*:
телефон*:
комментарий:
* - строки обязательные для заполнения
Я подтверждаю свое согласие на:*:
  • На исользование в качестве каналов передачи информации, содержащейся в заявке, открытых каналов связи сети Интернет
  • На обработку моих персональных даных в соответствии с федеральным законом РФ от 27.07.2006 №152-Ф3 "О персональных данных"
режим работы:
Пн-Пт: 08:00 - 19:30
Сб: 08:00 - 14:00
ТЕЛефон:
93-11-16
63-11-16
закрыть
Спасибо!
закрыть