Пломбирование зубов

Пломбирование – одна из самых распространенных манипуляций при лечения кариеса, а также процедура, широко применяющаяся при проведении эндодонтического лечения, когда возникает необходимость в пломбировании каналов.

Профилактические осмотры позволят своевременно обнаружить кариес и другие заболевания полости рта, и вовремя начать лечение. В нашей клинике цена при пломбировании зубов на начальном этапе развития кариеса будет ниже, поэтому лучше не затягивать лечение. В В случае, если у вас выпала пломба — вы также можете обратиться в нашу стоматологию для замены пломбы зуба. 

Современные пломбы

Несмотря на разнообразие существующих пломбировочных материалов, все пломбы должны удовлетворять следующим требованиям:

  • быть безопасными для организма, прочными, износоустойчивыми;

  • характеризоваться пластичностью;

  • соответствовать по всем характеристикам зубной эмали;

  • обладать рентгеноконтрастностью, что необходимо для контролирования результатов лечения.

В своей работы мы применяем пломбировочные материалы исключительного качества. Это делает установленные пломбы долговечными и придает им естественный внешний вид.

Пломбирование зубов: цена

Цена на пломбирование зубов зависит именно от использованных материалов. При этом некоторые виды пломб предпочтительнее применять только на переднюю группу зубов, другие – на жевательную.

Пломбирование зубов вышло на новый уровень с появлением светоотверждаемых материалов, которые обладают способностью застывать только при воздействии определенной световой волны. Такие технологии заметно облегчают процесс пломбирования, позволяют специалисту не торопиться и более качественно заполнить кариозную полость, полностью восстановить форму и внешние признаки зуба. Пломбирование зуба может длиться около 40 минут.

Этапы пломбирования

Сначала происходит очищение зуба от пораженных тканей, что осуществляется путем препарирования кариозной полости. После проведения обработки специалист приступает к ее послойному заполнению пломбировочным материалом и направляет поток света, способствующий полимеризации пломбы. После завершения процедуры проверяется прикус, и устраняются имеющиеся излишки материала. Последующая шлифовка и полировка способствует сохранению эстетических качеств пломбы.

Пломбирование передних зубов

Если передние зубы (центральные или латеральные резцы) повреждены в результате кариеса или травмы, эстетика улыбки нарушается. В результате человек теряет уверенность в себе и своей привлекательности. Кроме того, кариозный процесс прогрессирует и дефект становится еще более выраженным. При пломбировании зубов фронтальной группы на первое место выходит эстетика. Важно, чтобы улыбка после лечения выглядела максимально естественно.

Поставить пломбу в Махачкале Вы всегда можете в стоматологической клинике «Мечта». Прием пациентов ведут опытные стоматологи-терапевты – настоящие профессионалы своего дела, обладающие многолетним опытом работы. Записаться к доктору на прием Вы можете уже сейчас!



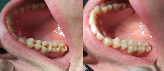
До и после


Записаться на прием

Цены

ТЕРАПЕВТИЧЕСКИЕ УСЛУГИ

  • Лечение пульпита однокорневого зуба (без пломбы)
    3500
  • Лечение пульпита двухкорневого зуба (без пломбы)
    4000
  • Лечение пульпита трехкорневого зуба (без пломбы)
    5000
  • Постановка пломбы световой полимеризации (Градиа Директ) Япония
    4000
  • Распломбирование 1-го канала
    1000
  • Восстановление зуба по системе «Рибонд»
    5 000
  • Восстановление керамики (скол керамики)
    4000
  • Лечение кариеса светоотверждаемой пломбой из композиционного материала Ceram X SphereTec, Gradia Direct. Включая анестезию и наложение коффердама.
    4500
  • Отбеливание ZOOM 4
    25 000
  • Отбеливание зубов Amazing White
    8 000


Специалисты по направлению

  • Мантикова Рима Ризвановна
    Врач стоматолог-терапевт
  • Саидов Исмаил Маратович
    Врач стоматолог-терапевт
  • Мухтаров Ибрагим Гаджиабакарович
    Врач стоматолог-терапевт


запись на прием
к врачу*:
Не важно
Не важно
Абдулаев Рабадан Ильясович
Алиева Загидат Тельмановна
Альчиев Тимур Абдурахманович
Амиров Эльмар Амирович
Гаджиева Хадижат Шапиевна
Гаджиметов Гаджимет Бинямович
Гитинова Саният Магомедалиевна
Ильясов Камильхан Абдулсаламович
Касумова Джамиля Зубаиловна
Магомедов Шамиль Алаутинович
Мирзаев Ашурбек Саламович
Мирзамагомедова Муминат Чапаевна
Мусаева София Гаджиевна
Мухтаров Ибрагим Гаджиабакарович
Саидов Исмаил Маратович
Абдулаев Рабадан Ильясович
Заведующий отделением ортопедии, Врач стоматолог-ортопед
Алиева Загидат Тельмановна
Врач стоматолог-терапевт, Врач пародонтолог
Альчиев Тимур Абдурахманович
Врач стоматолог-ортопед
Амиров Эльмар Амирович
Врач стоматолог-хирург, Врач имплантолог
Гаджиева Хадижат Шапиевна
Врач стоматолог-терапевт
Гаджиметов Гаджимет Бинямович
Врач стоматолог-хирург, Врач имплантолог
Гитинова Саният Магомедалиевна
Врач стоматолог-терапевт
Ильясов Камильхан Абдулсаламович
Врач стоматолог-хирург, Врач имплантолог
Касумова Джамиля Зубаиловна
Заведующий отделением, Врач пародонтолог
Магомедов Шамиль Алаутинович
Врач ортодонт
Мирзаев Ашурбек Саламович
Зам. главного врача, Врач стоматолог-хирург
Мирзамагомедова Муминат Чапаевна
Врач стоматолог-терапевт
Мусаева София Гаджиевна
Рентгенолог
Мухтаров Ибрагим Гаджиабакарович
Врач стоматолог-терапевт
Саидов Исмаил Маратович
Врач стоматолог-терапевт
ваше имя*:
телефон*:
комментарий:
* - строки обязательные для заполнения
Я подтверждаю свое согласие на:*:
  • На исользование в качестве каналов передачи информации, содержащейся в заявке, открытых каналов связи сети Интернет
  • На обработку моих персональных даных в соответствии с федеральным законом РФ от 27.07.2006 №152-Ф3 "О персональных данных"
режим работы:
Пн-Пт: 08:00 - 19:30
Сб: 08:00 - 14:00
ТЕЛефон:
93-11-16
63-11-16
закрыть
Спасибо!
закрыть