Синус- лифтинг закрытый , наращивание костной ткани ( без учета стоимости материала )

синус-лифтинг Синус лифтинг — это наращивание костной ткани. Наша стоматология оказывает такие услуги, как:

  • Открытый синус-лифтинг;
  • Закрытый синус-лифтинг.

Имплантация зубов сегодня стала вполне обыденной операцией. Зачастую это единственный способ восстановить утраченные зубы без использования съемных протезов. Чтобы имплантаты держались хорошо, необходимо достаточное количество прочной кости в месте их установки. Между тем особенности строения верхней челюсти не всегда дают возможность обеспечить хорошее укрепление имплантата. В таких ситуациях используется синус-лифтинг.

синус-лифтинг в стоматологии В толще верхней челюсти имеются воздушные пазухи, называемые гайморовы. Они настолько близко подходят к корням зубов, что иногда нет возможности установить имплантат, не погрузив его в пазуху. Подобная ситуация особенно часто возникает, если зуб отсутствует в этом месте уже давно. Кость не испытывает нагрузки при жевании и постепенно истончается еще больше.

В результате установка имплантатов обычным способом невозможна. Предварительно пациенту требуется пройти процедуру синус-лифтинга. Это небольшая хирургическая операция, которая позволяет искусственно утолщить будущее ложе для имплантата. Суть ее заключается в проникновении в гайморову пазуху и введении под ее слизистую оболочку специального вещества, провоцирующего активный рост кости.

В зависимости от способа проникновения в пазуху, синус-лифтинг бывает открытым или закрытым. Закрытый способ наиболее удобен и комфортен, поскольку в этом случае врач делает разрез непосредственно в месте установки будущего имплантата. При открытом способе инструменты вводятся через боковую стенку пазухи. Если ситуация позволяет, при проведении синус-лифтинга закрытого типа можно сразу вживить внутреннюю часть имплантата, сократив таким образом время восстановления утраченного зуба. Но этот вариант возможен не всегда, иногда кости требуется достаточно долгое время для восстановления.

результат синус-лифтинга Синус-лифтинг требует тщательной предварительной подготовки. После осмотра и изготовления слепка вам обязательно нужно будет сделать томограмму, чтобы врач точно видел толщину кости, расположение пазухи и остальные нюансы. После получения всех данных стоматолог разработает план операции. Нередко предварительно потребуется также сдать ряд анализов для контроля общего состояния организма.

Синус-лифтинг – это полноценная операция, имеющая ряд противопоказаний. Он не проводится при высокой температуре, обострении хронических болезней, при наличии раковых опухолей или нарушении свертываемости крови. Это наиболее частые противопоказания, помимо них имеются и другие нюансы, и запреты, о которых вам скажет врач.

подробное фото во время операции (синус-лифтинга) После операции вам придется регулярно приходить на прием для контроля состояния. Швы обычно снимаются примерно через неделю. Еще некоторое время вам придется соблюдать запрет на физические нагрузки и поднятие тяжестей, а также быть осторожным при чихании и очистке носа. После восстановления кости и тканей можно будет приступать к дальнейшим этапам имплантации.



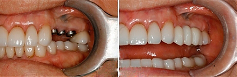
До и после синус-лифтинга


Записаться на прием

Цены

Имплантация зубов и синус-лифтинг

  • Установка имплантата AnyOne Ю. Корея, (установка имплантата и винта-заглушки)
    20 000
  • Синус-лифтинг закрытый, наращивание костной ткани (без материала)
    12 000
  • Синус-лифтинг открытый, наращивание костной ткани (без материала)
    14 000
  • Установка имплантата Straumann, Щвейцария (установка имплантата и винта-заглушки)
    40 000
  • Установка имплантата Impro, Германия (установка имплантата и винта-заглушки).
    25 000
  • Установка имплантата Osstem Ю. Корея, (установка имплантата и винта-заглушки)
    20 000
  • Установка имплантата JDental. Италия (установка имплантата и винта-заглушки)
    27 000


Специалисты по направлению

  • Амиров Эльмар Амирович
    Врач стоматолог-хирург, Врач имплантолог


запись на прием
к врачу*:
Не важно
Не важно
Абдулаев Рабадан Ильясович
Алиева Загидат Тельмановна
Альчиев Тимур Абдурахманович
Амиров Эльмар Амирович
Гаджиева Хадижат Шапиевна
Гаджиметов Гаджимет Бинямович
Гитинова Саният Магомедалиевна
Ильясов Камильхан Абдулсаламович
Касумова Джамиля Зубаиловна
Магомедов Шамиль Алаутинович
Мирзаев Ашурбек Саламович
Мирзамагомедова Муминат Чапаевна
Мусаева София Гаджиевна
Мухтаров Ибрагим Гаджиабакарович
Саидов Исмаил Маратович
Абдулаев Рабадан Ильясович
Заведующий отделением ортопедии, Врач стоматолог-ортопед
Алиева Загидат Тельмановна
Врач стоматолог-терапевт, Врач пародонтолог
Альчиев Тимур Абдурахманович
Врач стоматолог-ортопед
Амиров Эльмар Амирович
Врач стоматолог-хирург, Врач имплантолог
Гаджиева Хадижат Шапиевна
Врач стоматолог-терапевт
Гаджиметов Гаджимет Бинямович
Врач стоматолог-хирург, Врач имплантолог
Гитинова Саният Магомедалиевна
Врач стоматолог-терапевт
Ильясов Камильхан Абдулсаламович
Врач стоматолог-хирург, Врач имплантолог
Касумова Джамиля Зубаиловна
Заведующий отделением, Врач пародонтолог
Магомедов Шамиль Алаутинович
Врач ортодонт
Мирзаев Ашурбек Саламович
Зам. главного врача, Врач стоматолог-хирург
Мирзамагомедова Муминат Чапаевна
Врач стоматолог-терапевт
Мусаева София Гаджиевна
Рентгенолог
Мухтаров Ибрагим Гаджиабакарович
Врач стоматолог-терапевт
Саидов Исмаил Маратович
Врач стоматолог-терапевт
ваше имя*:
телефон*:
комментарий:
* - строки обязательные для заполнения
Я подтверждаю свое согласие на:*:
  • На исользование в качестве каналов передачи информации, содержащейся в заявке, открытых каналов связи сети Интернет
  • На обработку моих персональных даных в соответствии с федеральным законом РФ от 27.07.2006 №152-Ф3 "О персональных данных"
режим работы:
Пн-Пт: 08:00 - 19:30
Сб: 08:00 - 14:00
ТЕЛефон:
93-11-16
63-11-16
закрыть
Спасибо!
закрыть